
MUSICA3 – Høj billedkvalitet til præcis diagnose
The diagnosis is in the detail
Én optagelse. Ét korrekt billede. Hver gang.
Din patient venter. Radiografens workflow skal flyde. Og radiologen har brug for et billede, der viser præcis det, der er brug for – uden manuel efterbehandling, uden kompromiser på dosis.
MUSICA® er Agfas patenterede billedbehandlingssoftware – leveret som standard med alle Agfa CR- og DR-løsninger. Den analyserer automatisk hvert billede og optimerer det, uanset kropsdel, patientstørrelse eller optagelsesvinkel.
We challenge and
inspire to exceed expectations
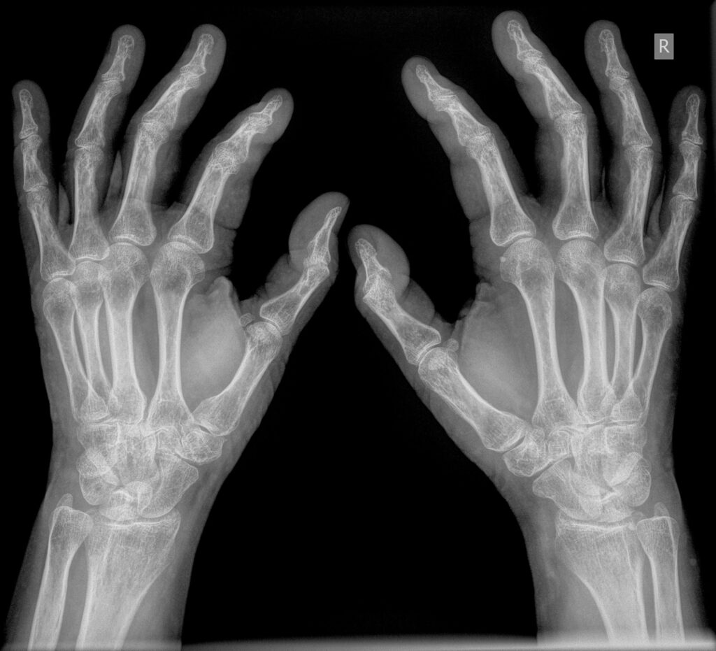
Teknologien bag billedet – Fractional Multiscale Processing
Hvor traditionel billedbehandling justerer kontrasten globalt, arbejder MUSICA3 på et mikroniveau. Hvert billede opdeles i lag – hvert lag behandles separat – og resultatet er, at du ser detaljer, der ellers ville forsvinde i overgangszonerne mellem lyst og mørkt væv.
Det gælder særligt i de klinisk vanskelige områder.
- Balanceret fremstilling af blødt væv og overlappende knogler
- Tydelig knogleadskillelse ved ortopædiske implantater
- Skarpe detaljer i mediastinum og abdominalorganer
- Optimeret visning af trabekulære mønstre i knogle

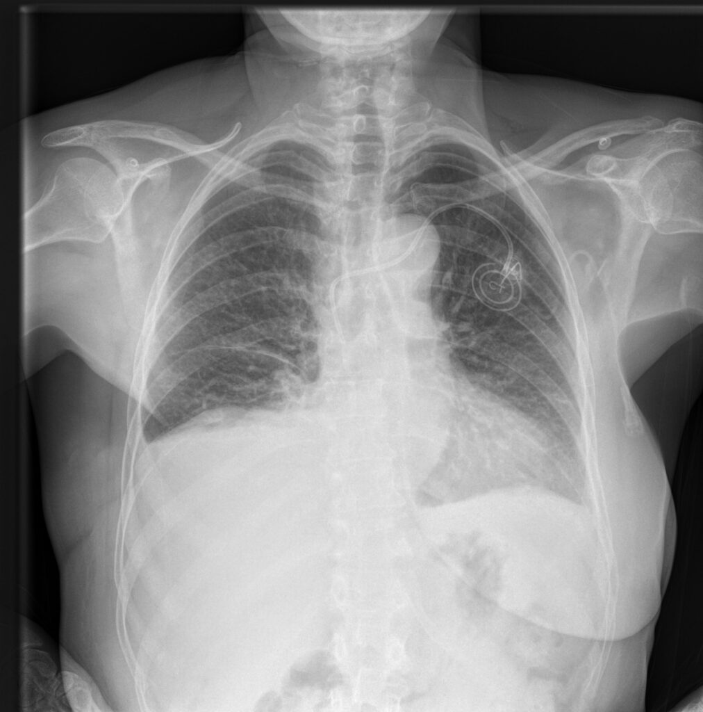
Musica3 Chest+
MUSICA3+ er specialudviklede tillægspakker til undersøgelsestyper, der typisk stiller ekstra krav til billedkvaliteten – store patienter, neonatal, sengebilledtagning uden grid og kateter-identifikation.
MUSICA®3 Chest+ kompenserer for scatter og leverer billedkvalitet, der svarer til eksponering med fysisk anti-scatter grid – ved 1,6 gange lavere dosis.
- Reduceret dosis og ingen risiko for grid-artefakter
- Markant bedre kontrast i lungefelter og mediastinum uden grid
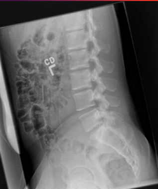
MUSICA3+ Skeleton+
Diagnostisk kvalitet – også ved store patienter
Lav penetration og høj scatter ved store og bariatriske patienter kan gøre columna-, bækken- og ribbensoptagelser diagnostisk utilstrækkelige. Skeleton+ fremhæver netop de kritiske detaljer, der ellers går tabt.
- Skarpere trabekulære strukturer og tydeligere hvirvelafgrænsning
- Egnet til columna, bækken og ribben
- Diagnostisk billedkvalitet uanset patientstørrelse


MUSICA3+ abdomen+
Abdominale røntgenoptagelser af store patienter er scatter-dominerede og giver ofte mudrede billeder, hvor organgrænser og katetre er svære at skelne. Abdomen+ forbedrer visualiseringen uden at overforstærke irrelevante detaljer.
- Skarpere afgrænsning af tarmvæg, nyre, lever og blære
- Bedre fremstilling af katetre, stenter, suturer og stomi
Op til 60% lavere – uden at gå på kompromis
Bedre billedkvalitet og lavere dosis er ikke et modsætningsforhold – det er præcis, hvad MUSICA3 leverer. Studier viser, at CsI-detektorer kombineret med MUSICA3 kan reducere patientdosen med op til 60% sammenlignet med traditionelle BaFBr CR-kassetter*
Det uafhængige studie fra Frost & Sullivan (2016) bekræfter resultaterne. Digital radiografi med MUSICA forbedrer billedkvaliteten og holder dosis så lav som praktisk muligt – en gevinst for både patient og personale.






